What is a crown?
For a full explanation, watch this VIDEO.
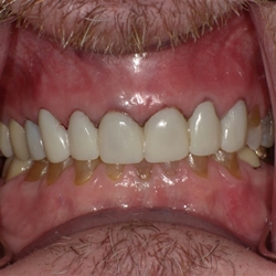
Why do I need a crown?
If you want a smile that’s your crowning glory, you may need a crown to cover a tooth, which will help restore it to its normal shape and size. Crowns are part of cosmetic dentistry that benefit both the look and function of your tooth. You can easily get a crown at our dental offices in Memphis.
A crown can make your tooth stronger and improve its appearance. A crown can help strengthen a tooth with a large filling when there is not enough tooth remaining to hold the filling. Crowns can also be used to attach bridges, protect a weak tooth from breaking or restore one that’s already broken. A crown is a good way to cover teeth that are discolored or badly shaped. It’s also used to cover a dental implant.
If Dr. Edwards recommends a crown, it is probably to correct one of these conditions. Our primary concern, like yours, is helping you keep your teeth healthy and your smile bright.
Sources: Copyright © 2014 American Dental Association. MouthHealthy.



