

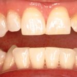
What is Zoom! Whitening?
Zoom! Whitening is an in-office, chair-side whitening system that can brighten your smile up to 8 shades within two hours. More than 10 million people use Zoom! Whitening, which is a reliable and pain-free alternative to store-bought teeth whitening kits. See results instantly. Your smile will love you for it.
Is Zoom! Whitening safe?
Yes. Clinical studies have shown that whitening your teeth with carbamide or hydrogen peroxide under the supervision of a dental professional is safe for teeth and gums ©.
Why should I whiten my teeth with help from my dentist?
The most common concern is temporary teeth sensitivity, but lots of advances have been made in recent years to help combat this. Philips Zoom WhiteSpeed has adjustable intensity settings to help maximize patient comfort, and 99% of patients experienced little to no sensitivity. And Philips Zoom DayWhite and NiteWhite have a special formula with built-in potassium nitrate and ACP (amorphous calcium phosphate), which are known desensitizers. These special ingredients make your enamel smoother and more lustrous as well.
We also recommend that you brush with a sensitivity formula toothpaste like Fluoridex Daily Defense Sensitivity Relief two weeks prior to whitening, and that you take ibuprofen on the day of your treatment ©.
Sources: © 2014 Philips Oral Healthcare, Inc. All rights reserved. PHILIPS and the Philips shield are trademarks of Koninklijke Philips N.V. Sonicare, the Sonicare logo, and DiamondClean are trademarks of Philips Oral Healthcare. All other trademarks are property of Discus Dental, LLC.



